Μην τα χάσεις
Τα 7 στάδια της θλίψης κατά την παραλαβή μιας εισαγωγής
ΑΡΝΗΣΗ Το πρώτο στάδιο είναι η μη αποδοχή της πραγματικότητας, σε μια προσπάθεια μήπως αλλάξει αυτή. «Μπα, θα υπογράψει να φύγει αυτός, τον κόβω» ή «Έκανε λάθος το λογιστήριο στην κλινική, σίγουρα πράγματα» είναι οι σκέψεις που κυριαρχούν. Κάποιος συνεργάτης (που βρίσκεται στο ίδιο στάδιο άρνησης) ψάχνοντας για συμπαράσταση μπορεί να ρωτήσει χαμηλόφωνα «Σίγουρα είναι […]
Ιατρικές Ειδικότητες ως χαρακτήρες από το Game of Thrones
ΑΚΤΙΝΟΛΟΓΙΑ = Prince Oberyn Ποιος ξέρει τι κάνεις μεσ’τα σκοτάδια. ΑΝΑΙΣΘΗΣΙΟΛΟΓΙΑ = Jaqen H’ghar (Faceless Assassin) Πριν το καταλάβουν τα θύματά σου, τους έχεις αφήσει ξερούς. ΓΑΣΤΡΕΝΤΕΡΟΛΟΓΙΑ = The Hound Έχεις βρωμοδουλειά, αλλά την κάνεις – και την κάνεις καλά. ΓΕΝΙΚΗ ΧΕΙΡΟΥΡΓΙΚΗ = Tywin Lannister Δεν θα έχεις ποτέ τη […]
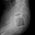
Ξένα αντικείμενα (όχι ιπτάμενα – εισερχόμενα!)
Το διαδίκτυο έχει πολλές κατασκευασμένες φωτογραφίες, αλλά αυτές που σας παρουσιάζουμε έρχονται από μια έγκυρη (και πολύ χρήσιμη) σελίδα Ακτινολογίας, το Radiopaedia.org (συν δύο μπόνους Ελληνικές φωτογραφίες!) Οι εικόνες αυτές αφορούν την («κατά λάθος» συνήθως όπως δηλώνεται) εισαγωγή αντικειμένων στο σώμα. Τις παραθέτουμε για επιστημονικούς λόγους αλλά και για να σας προειδοποιήσουμε για να προσέχετε […]
Βγήκαν μαχαίρια – Μηδενική ανοχή σε περιστατικά βίας στα νοσοκομεία
Στα περισσότερα νοσοκομεία του εξωτερικού ισχύει η οδηγία «μηδενικής ανοχής» σε περιστατική λεκτικής και σωματικής βίας. Η υπηρεσία ασφάλειας του νοσοκομείου επιβάλλει την οδηγία αυτή απομακρύνοντας «σηκωτούς» όσους δεν τη σέβονται, ενώ η αστυνομία ανταποκρίνεται σε ελάχιστο χρόνο με προτεταμένα τα όπλα σε ανάλογη καταγγελία. Τι συμβαίνει στην Ελλάδα σχετικά με αυτά; *Ο οποιοσδήποτε μπορεί […]






